Paso cerro de los condores
mâle
Dogo Argentino
né le
20/01/2019

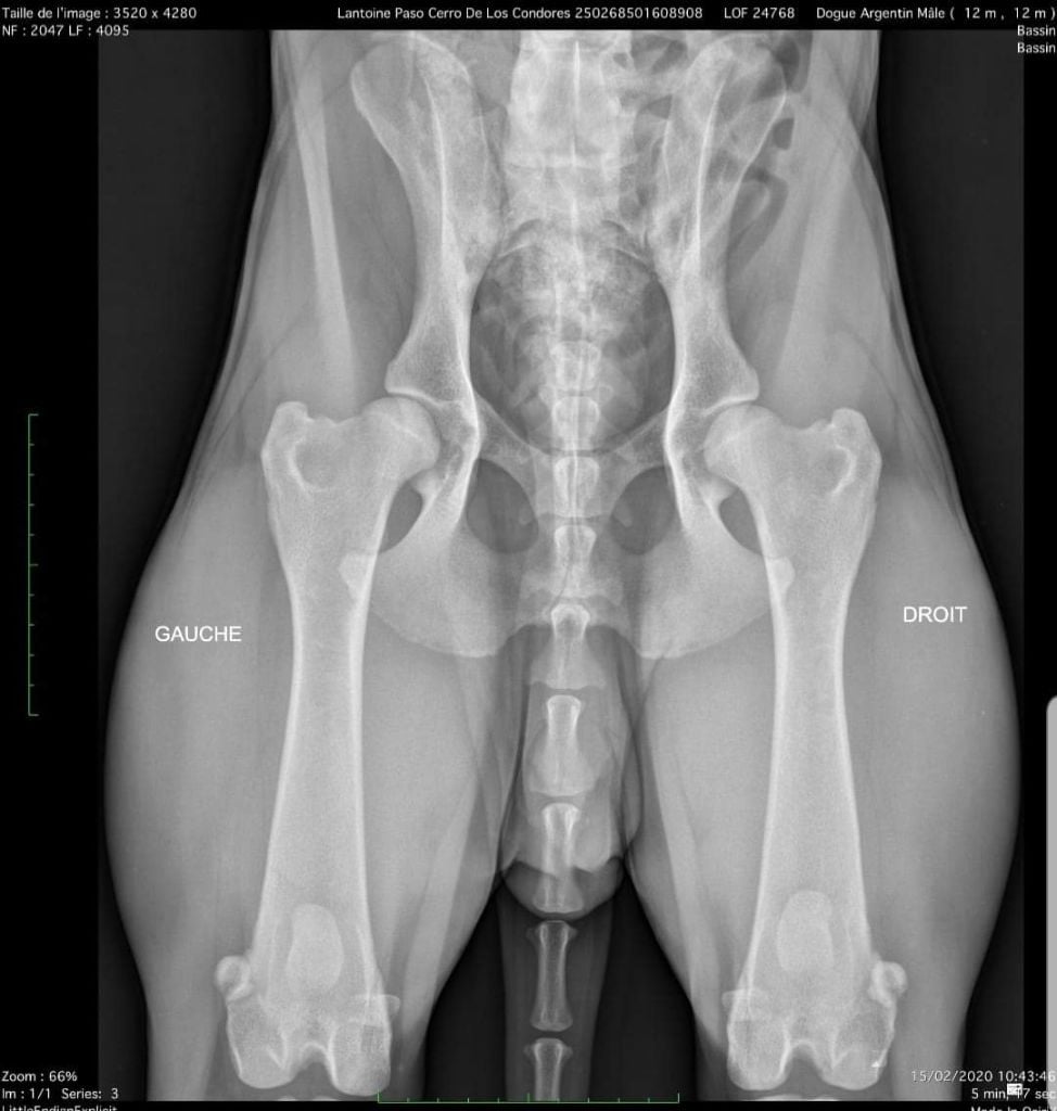
Dysplasie B/C (lecture non officielle, radio disponible).
BAER +/+ (Test officiel FR).
Test Nanisme PRKG2 N/N.
ADN.
Dentition fermeture ciseaux.
Test Nanisme PRKG2 N/N.
ADN.
Dentition fermeture ciseaux.
Informations sur Paso cerro de los condores
| Sexe | Mâle |
| Puce | 250268501608908 |
| Inscrit au LOF ? | LOF |


